Ga direct naar de hoofdinhoud

Ontwikkeling pup in de buik

Week 1

De bevruchte eicellen verplaatsen zich naar de baarmoederhals. De pups zijn behoorlijk resistent van invloeden van buitenaf

Week 2

Het embryo gaat nu de baarmoeder binnen. Ze hechten zich nu aan de baarmoederwand en worden netjes verdeeld zodat elk embryo gelijke kans krijgt. De embryocellen delen zich op in cellen zodat er een lichaam gevormd kan worden. Na 2 weken heeft het een kopje, ruggengraat, stompjes voor de pootjes en een staartje. Maar het is nog mega klein. Nu is de foetus kwetsbaar dus als de moeder medicijnen krijgt of ziek wordt kan de pup ernstige problemen krijgen

Week 3

Vanaf dag 19 kapselen de pups zich in de baarmoederwand. Ongeveer een dag later kan de teef misselijk worden en niet willen eten door de hormonen en spanning in de baarmoeder

Week 4

De rugwervels en ogen zijn in volle ontwikkeling. Aan het eind van deze week zijn de pups zo groot als een walnoot. Nu is de pup erg kwetsbaar omdat de ontwikkeling van de organen is begonnen. De melkklieren van de teef gaan nu op gang komen

Week 5

De pups zijn pas 3 cm groot en nu al loopt de ontwikkeling van de organen ten einde. Daardoor zijn de invloeden van buitenaf nu minder zwaar. Deze week is de ontwikkeling van de snorharen, tanden, tenen en nagels aan de beurt. Ze gaan nu meer op een pup te lijken en het geslacht is nu bepaald. De huidskleur begint nu kleur te krijgen en eerst waren de ogen nog open maar daar komt nu een huidlaag overheen.

De pups beginnen zich nu te draaien en te bewegen. De pups hebben nu 2 vliezen waar ze in zitten. Interessant om te weten is dat hoe de pup ligt kan bepalen hoe groot ze worden en hoe de gezondheid zal zijn. De beste positie voor een pup is in het midden van de baarmoeder omdat daar de placenta het beste aanhecht, waardoor deze pup meer voeding krijgt. Zelfs het gedrag van de pup kan hierdoor bepaald gaan worden.

Testosteron en dominantie wordt nu ook ontwikkeld bij de reu. Het is zelfs zo dat als een teef tussen 2 reutjes ligt, ze ook wat testosteron binnenkrijgt en daardoor dominant zal worden of andere mannelijke trekjes binnenkrijgt. 

Voor de teef treden er ook veranderingen op. Zij wordt nu zwaarder omdat het vruchtwater flink toeneemt. 

Week 6

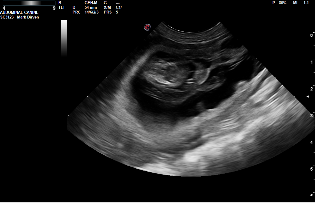
Nu lijkt de foetus echt op een pup en weegt nu ongeveer 6 gram en is 4,5 cm lang. Vanaf nu kan je het hartslag van de pup horen, het schedel van de pup is te voelen en je kan nu op een röntgenfoto de pup zien. Vanaf nu gaat de pup alleen maar groeien tot aan de bevalling.

De teef zal nu wat meer eten nodig hebben en zal wat meer energie hebben.

Week 7

Het skelet van de pup wordt steviger en op de röntgenfoto is nu duidelijk een pup te zien. Vanaf nu kan je de pups voelen bewegen. Het buitenste vruchtvlies vormt samen met het slijmvlies van de baarmoederwand de placenta/moederkoek.

De haren beginnen van de teef uit te vallen bij de buik zodat de pups straks daar lekker kunnen drinken zonder een hap haar erbij

Week 8

De pups zijn echt flink aan het groeien en daardoor krijgen ze minder ruimte in de buik. Daardoor zijn de pups nu goed te voelen. Zeker als de moeder rust kan je het momentje pakken. Vanaf dag 57 kunnen de pups zonder problemen ter wereld komen. 

De moeder moet meerdere keren op een dag eten want al haar organen komen steeds meer in de verdrukking. Ook zal ze vaker moeten plassen en minder willen eten omdat er niet meer zoveel ruimte is.

Week 9

In de laatste week groeien de pups nog meer en maken ze zich klaar voor de bevalling

Voor de moeder is het nu erg zwaar. Vaak kleine plasjes doen en niet veel kunnen eten maakt het niet erg prettig

Maak jouw eigen website met JouwWeb