Dna
Altijd Embark
DNA testen in het nest voor 7 weken kan je ook al doen.
Code van Fellow: 22248215
Code van Finya: 22247447
Hieronder zijn voorbeelden waar DNA onderzoeken worden uitgevoerd. Laboklin geeft sowieso binnen 2 weken uitslag. Op volgorde van prijsklasse en verscheelt nogal!
Optigen: 150 New York
Laboklin: 80 Nederland
Inqaba: 40 Afrika
van hearingen: Nederland en is nu actueel




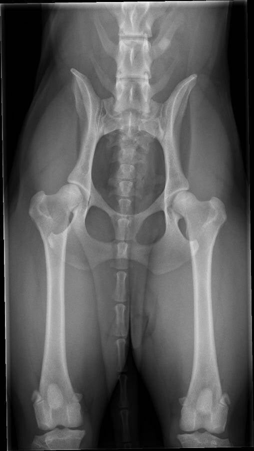
Mayla heup


Lexie A heupen 28-1-2022

ECVO Barka
Jack alle testen behalve de artrose en ECVO voor de ogen



Lexie 28 januari 2022 HD A
ECVO Mayla 2019
Uitslag heupen Mayla
Mayla 4 september 2019 heupen HD A
CD nest Doodles 6-6-2022


Lexie heupen 28-1-2022
Ogen 21-6-2022
DNA Tess
Maak jouw eigen website met JouwWeb