Dracht en voorbereiding


Echt precies mooi op de datum kreeg Tess in de nacht van 10 april haar eerste pup. Aan het begin van de ochtend was ze al klaar en bevallen van een mooi aantal. 6 pups heeft ze gekregen: 5 teefjes en 1 reutje. Iedereen doet het goed en de pups hebben een mooi gewicht. Ook moeder Tess doet het super goed!

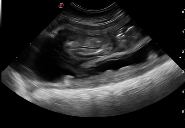
2-4 heeft Tess de röntgenfoto gehad en nu blijkt het niet dat ze 3 tot 5 pups krijgt maar 6 tot 7. Daar zijn we echt super blij mee om meerdere redenen. De pups hebben elkaar om goed te socialiseren en het worden dan geen hele grote pups bij de bevalling dan als je een klein nestje hebt. En we mogen natuurlijk wat meer mensen blij maken met dat er een pup voor ze bij zit!
20-3 De werpkist staat klaar dus het is nu nog even wennen. Ze heeft nog geen idee wat ze ermee moet maar dat komt wel
Omdat het nestje niet zo groot is wordt er toch een röntgenfoto gemaakt om te zien hoeveel pups Tess krijgt. Deze is op dinsdag 2 april gepland
17-3 Haar buik begint langzaam wat te groeien. Het wordt nu steeds echter
7 maart heeft Tess de echo gehad. Ze is drachtig! Er zijn 3 vruchtzakjes duidelijk te zien. Het kan zijn dat er een vruchtje dubbel zit. De dierenarts zegt dat er 3-5 puppy's geboren gaan worden. Een klein nestje dus. Dat betekent dat de puppylijst nu wel vol is
De dierenarts hond 4 maart nog iets te snel dus gaat ze donderdag 7 maart. Ze houdt het dus nog even spannend. Tess is wel meer aan het slapen maar naast dat is ze wel zichzelf. Gewoon lekker actief en bezig willen zijn
Dekking 5 februari
Dekking 7 februari
Op maandag 5 februari en woensdag 7 februari is Tess gedekt door Wisp. Nu gaat het avontuur beginnen! Het eerst volgende is nu gaan kijken of ze symptomen laat zien dat ze drachtig is. De echo zal het bevestigen of ze echt drachtig is of niet.
Op 4 maart is de echo en is het zeker of Tess drachtig is of niet
Maak jouw eigen website met JouwWeb